|
|
|
|
|
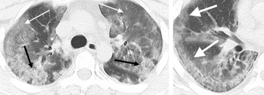
Au total, le virus Sars-Cov-2 a contaminé plus de 8,698 millions de malades dans le monde et causé 460 783 décès, selon les statistiques de l'Université John Hopkins. Les vacances d'été approchent, les frontières intérieures de l'Europe ouvertes depuis le lundi 15 juin, et les frontières extérieures, c'est-à-dire, avec les autres pays hors Union européenne, interviendra à partir du 1er juillet. Les bilans s’alourdissent encore aux USA, au Brésil et au Mexique, ces trois pays présentent à eux seuls : 40% des nouveaux cas, 48,3% des nouveaux décès et 47% des cas critiques de la planète. Avec un total de 1 850 913 cas conformés et 48 954 morts recensés, le Brésil est le deuxième pays le plus endeuillé par le Covid-19, derrière les Etats-Unis. En Afrique, on assiste à une nette accélération de la propagation du virus, en effet le nombre de cas confirmés a doublé ces 20 derniers jours. L'Afrique compte à ce jour un peu plus de 287 160 cas et 7 691 décès, et 10 des 54 pays d'Afrique recensent 80% des cas, en tête : l'Afrique du Sud, l'Egypte, le Nigeria, l'Algérie.
|
|
|
Vous avez été très nombreux à suivre la conférence du Pr Jacques Barrier, le jeudi 4 juin, intitulée : Pandémie COVID-19 en Afrique : conséquences sociales. Nous avons transmis vos félicitations et vos remerciements à Jacques Barrier. Cette visioconférence est disponible sur le site de l’AUF et sur le site SPLF/EFP
La prochaine visioconférence organisée conjointement par la CIDMEF, AUF et SPLF-EFP, se tiendra le Jeudi 2 juillet présentée par le Pr Bruno Crestani, chef de service de Pneumologie à l’hôpital Bichat – Claude-Bernard à Paris. Coordonnateur du centre de référence constitutif des maladies pulmonaires rares de l’adulte et du DHU FIRE (Fibrose, Inflammation et Remodelage). Titre : Prise en charge des patients atteints par le COVID-19 après la phase aigüe.
Horaires : 10h heure de Montréal, 14h heure de Bamako, Dakar, Conakry, Abidjan, Bouaké et Ouaga, 15h heure de Tunis, Rabat, Alger, Kinshasa, Cotonou, Bangui et Libreville, 16h heure de Paris, 17h heure de Beyrouth, Damas, Antananarivo et Majunga, 18h heure de Maurice et la Réunion.
Nous vous proposons de découvrir cette conférence du Pr Olivier Sibony sur la prise de décision et biais cognitif avec pour exemple l'infection COVID-19 présentée dans le cadre des séries des webinaires de HEC Paris.
|
La Société de Pneumologie de Langue Française, l'Espace Francophone de Pneumologie, La Société Africaine de Pneumologie de Langue Française, La Société Suisse de Pneumologie et la Société Tunisienne des Maladies Respiratoires & d’Allergologie, organisent un webinaire le jeudi 25 juin de 19h00 à 21h00 heure de Paris intitulé : Regards croisés face à l'infection COVID
Au programme : 1. Tests diagnostiques : que nous disent ils ? comment les utilisons nous ? 2. Pneumopathie Covid quels supports respiratoires en dehors des soins intensifs? 3. Données épidémiologiques africaines : impact des antipaludéens ? 4. Encéphalopathie liée au virus SARS-Cov2 SACRE 5. Questions - Réponses
Animation : Dr Frank Soyez (Paris) – Pr Agnès Hamzaoui (Tunis) Intervenants : Dr Leïla Slim (Tunis) – Pr Dan Adler (Genève) – Pr Yakoba Toloba (Bamako) – Pr Gilles Allali (Genève)
 |
L’AUF débloque un million d’euros pour soutenir les initiatives universitaires liées à la COVID-19. Dans le cadre de son plan d'action spécial COVID-19, l’Agence Universitaire de la Francophonie (AUF) a lancé, du 10 avril au 5 mai 2020, un appel à projets international pour soutenir, au sein de ses établissements membres, des initiatives d’étudiant·e·s, d'élèves ingénieur·e·s et de jeunes chercheur·e·s liées à la pandémie. L’objectif de cet appel à projets était d’accompagner la réponse de la communauté universitaire à la pandémie et de soutenir le développement de solutions à impact technologique et/ou social immédiat. La subvention permettra de financer 92 projets issus de 87 établissements membres dans 44 pays, pour une durée allant de trois à six mois.
|
|
|
Capsules vidéos pour sensibiliser et former les soignants des pays francophones face à l’épidémie
L’AUF et l’Ecole des hautes études en santé publique (EHESP, France), mettent à disposition des professionnels de santé un ensemble d’informations, recommandations et conduites à tenir. Ce corpus de « capsules vidéos » élaboré par le centre d’appui à la pédagogie (CApP) de l’EHESP permet de sensibiliser et de former les soignants de tous les pays francophones à faire face à l’épidémie de coronavirus. Pour découvrir les capsules vidéos :
|
Organisation de la lutte contre la COVID19
Pr Philippe Fraisse - GREPI Société de Pneumologie de Langue Française SPLF Version du 11-06-2020 (pdf)
|
|
|
COVID-19 - Dépister et prendre en charge un patient en contexte épidémique - Consultation du médecin de 1ère ligne
Dans le contexte actuel de pandémie à COVID-19, le 1er contact – présentiel au cabinet, ou téléconsultation, ou en ES – d’un patient suspect avec le système de soins est essentiel. Il s’agit pour ces médecins de 1ère ligne de réaliser une évaluation clinique permettant de repérer et traiter les patients atteints, notamment ceux à risque de formes graves, et de mettre en place les mesures barrières adéquates, pour protéger au mieux les patients, leur entourage et le reste de la collectivité.
Revue de la littérature
|
Infolettre de l'APQ
Consulter ici l'infolettre de l'association pulmonaire du Québec APQ consacrée à l'infection COVID-19 du 15 juin 2020 et ici l'ensemble des infolettres de l'APQ
|
|
|
GLUCOCOVID : Essai contrôlé de méthylprednisolone chez des adultes hospitalisés pour pneumonie au COVID-19
Cette étude a cherché à déterminer si une cure intraveineuse de méthylprednisolone (MP) de 6 jours améliore les résultats chez les patients infectés par le SRAS CoV-2 à risque de développer un syndrome de détresse respiratoire aiguë (SDRA).
Elle a pu démontrer qu'une courte cure de MP a eu un effet bénéfique sur les résultats cliniques d'une pneumonie grave au COVID-19, diminuant le risque d'admission aux soins intensifs, de besoin de VNI ou de décès.
medRxiv, publié en ligne le 18 juin 2020
|
Apport limité des antibiotiques dans l'infection COVID-19: rares preuves de co-infection bactérienne
Les données décrivant les co-infections bactériennes, les schémas de prescription d'antibiotiques associés et le rôle potentiel de la gestion des antimicrobiens dans les soins aux patients infectés par le SRAS-CoV-2 sont limitées. Les antibiotiques sont probablement inutiles chez les patients présentant des symptômes bénins. Les antibiotiques à large spectre ne jouent qu'un rôle limité dans le traitement empirique des germes multirésistants chez les patients atteints de COVID-19, quelle que soit la gravité de la maladie.
medRxiv, publié en ligne le 18 juin 2020
|
Diabète et COVID-19: risques, gestion et enseignements tirés d'autres catastrophes nationales
Les preuves relatives à l'impact du COVID-19 chez les personnes atteintes de diabète sont limitées mais continuent d'émerger. Les diabétiques semblent courir un risque accru d'infection au COVID19 plus grave, bien que les preuves quantifiant le risque soient très incertaines. La mesure dans laquelle les facteurs cliniques et démographiques modèrent cette relation n'est pas claire, bien que des signaux émergent qui lient un IMC plus élevé et un taux d'HbA1c plus élevé à de moins bons résultats chez les diabétiques atteints d'infection COVID-19. …
Diabetes Care Publié en ligne le 16 juin
|
|
|
Effet de la thérapie par plasma dans l'infection COVID-19 sévère et potentiellement mortelle
Chez les patients atteints de COVID-19 sévère ou menaçant le pronostic vital, la thérapie par plasma ajoutée au traitement standard, par rapport au traitement standard seul, n'a pas entraîné une amélioration statistiquement significative du temps nécessaire à l'amélioration clinique dans les 28 jours.
JAMA. 3 juin 2020 Ling Li et Al.
|
Faux tests négatifs dans l'infection par SARS-CoV-2 défis et implications
Les tests de diagnostic aideront à lever le confinement des pays en toute sécurité si les tests sont très sensibles et validés. La mesure de sensibilité des tests chez les personnes asymptomatiques est une priorité urgente. Les résultats négatifs, même sur un test très sensible, ne peuvent pas exclure une infection si la probabilité du prétest est élevée …
New England Journal of Medicine. 8 juin Steven Woloshin et Al.
|
Prévention, diagnostic et traitement de la MTEV chez les patients atteints de COVID-19
Les recommandations contenues dans ce document ont été spécifiquement conçues pour répondre aux questions cliniques urgentes courantes que les prestataires de soins de première ligne sont susceptibles de rencontrer concernant la maladie thromboembolique veineuse et l'hypercoagulabilité chez les patients atteints de COVID-19.
CHEST Guideline and Expert Panel Report. 2 juin 2020 Lisa K. Moores et Al.
|
|
|
|
|